tads

TADs

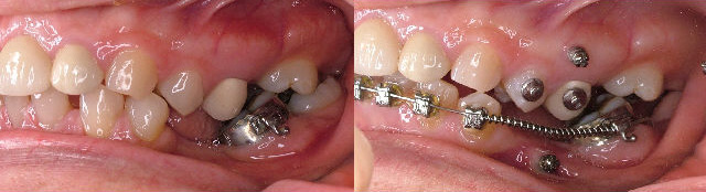
Temporary Anchorage Devices, or TADs, are miniature screws placed in your mouth that can help your orthodontist to move your teeth efficiently. Positioning the TAD is pain-free, and they are typically removed after a short period of time when they are no longer needed to assist tooth movement.

Click the image below to see examples of TADs Treatment.

Back to Top ↑

doctors

Our Locations

Lake View
3655 North Ashland Avenue
Chicago, Illinois 60613
Phone: 773-404-2288

Lincolnshire
275 Parkway Drive Suite 523
Lincolnshire, Illinois 60069
Phone: 847-279-0300

Hyde Park
1660 East 56th Street
Chicago. Illinois 60637
Phone: 773-752-6691

Orland Park
9535 West 144th Place
Orland Park, Illinois 60462
Phone: 708-403-2288

Visit Our Social Networks